
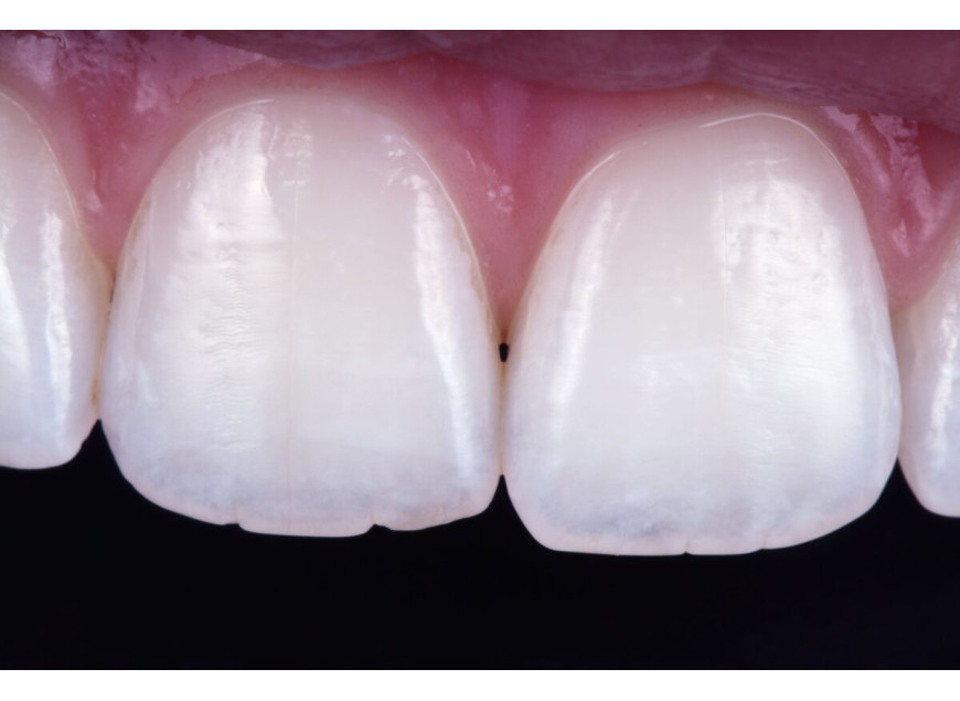
Vittra APS es una resina compuesta fotocurable de última generación. Este producto ha sido desarrollado teniendo en cuenta las tendencias más recientes de la odontología mundial, donde la practicidad y la tecnología avanzan a gran velocidad. Sus propiedades físicas y mecánicas son comparables a las de los mejores productos del mercado, y asociadas a una estética de nivel superior, permiten restauraciones en dientes anteriores y posteriores. A continuación, te detallamos las características que hacen de Vittra APS una resina única y de altísimo rendimiento.
NANOPARTICULADA
Vittra APS está compuesta por cargas nanoesferoidales de circonio, lo que ha permitido crear un compuesto con excelentes propiedades mecánicas, un manejo fluido y una notable capacidad de obtener y mantener el pulido y el brillo. Las cargas esferoidales son también clave para una mayor resistencia al desgaste, ya que actúan como deflectores (o «repelentes») de impactos sobre la superficie. El tamaño medio de las partículas es de 200 nm, y el contenido total de carga inorgánica es del 73% en peso.
La dureza es una propiedad mecánica directamente relacionada con la resistencia de los compuestos. Cuanto mayor sea la dureza, mejor será la resistencia. Vittra APS presentó una dureza superficial superior a todos los demás materiales (ANOVA de un factor y prueba de Tukey; p<0,05).
Cuanto menor sea la rugosidad superficial después de la acción de cepillado, mayor será la integridad, longevidad y brillo de la restauración. La resina Vittra APS fue la única a no presentar aumento de la rugosidad superficial después del cepillado simulado.
TECNOLOGÍA: APS
Con la incorporación de la nueva tecnología de fotopolimerización de FGM, el APS (Advanced Polymerization System) el composite adquirió incomparables propiedades ópticas y mecánicas. Además de potenciar el proceso de fotocurado, Vittra APS es la primera resina nacional que no presenta variación perceptible en el color ni en la opacidad una vez curada, es decir, el color del compuesto antes de curar es prácticamente el mismo que después del curado. Esto permite a los profesionales planificar la restauración y evaluar los resultados en tiempo real antes de curar. Otra gran ventaja clínica del APS es la estabilidad bajo luz ambiente, lo que proporciona más tiempo para manipular la resina y esculpir el trabajo con tranquilidad sin perder sus propiedades reológicas.
Otra gran ventaja clínica resultante de la incorporación de ese nuevo sistema de polimerización es la estabilidad bajo luz ambiente, lo que significa más tiempo para manipular la resina y esculpir su trabajo con tranquilidad sin pérdida de sus propiedades reológicas.
El delta E indica la magnitud de la diferencia total de color. Como menor el delta E, menor la percepción visual del profesional respecto a la diferencia de color de los compósitos antes y después de la fotopolimerización. La resina Vittra APS presentó el menor cambio de color, siendo aún menor que resinas premium como Estelite Quick y Filtek Z350 XT (ANOVA de 1 factor y prueba de Tukey; p<0,05)
Este ensayo de calorimetría diferencial de barrido (DSC) se realizó con la muestra expuesta a una fuente de luz con intensidad de 10.000 LUX, similar a la luz emitida por los reflectores de equipos odontológicos. Por lo tanto, este ensayo simula el tiempo de trabajo (aprox. 8 minutos) que diferentes resinas presentan cuando de la confección de una restauración en la cual se usa la luz del reflector odontológico como iluminación directa. Se percibe en el gráfico de DSC que el sistema APS le proporciona a la resina Vittra APS un mayor tiempo de trabajo al compararlo a la competencia con sistemas iniciadores convencionales. La curva menos inclinada del composite Vittra APS indica aún que su reacción de curado es mucho menos intensa que la de los demás productos, confirmando su menor sensibilidad a esta exposición de luz.
SISTEMA DE COLORES
El concepto de colores de la resina Vittra APS tiene el objetivo de organizar y simplificar toda la evolución de las resinas compuestas. Combinando equilibrados colores de efecto con colores que simulan la translucidez de la dentina y del esmalte, el concepto permite fácil utilización y excelentes resultados clínicos. Siguiendo una tendencia mundial presenta un único matiz para dentina (universal) – matiz A VITA Classical – con 7 opciones de saturación. Teniendo en cuenta que la dentina es el tejido responsable de la coloración de los dientes, es posible combinarlas con las resinas de esmalte y de efecto, que son más translúcidas y obtener naturalidad en todos los casos.
TONO OPALESCENTE
La opalescencia es una propiedad óptica del esmalte, observada principalmente en los bordes incisales relacionada a su capacidad de transmitir selectivamente las ondas largas del espectro, dándole al esmalte aspecto con tonalidad anaranjada. A la vez que refleja las ondas cortas, lo que le confiere al esmalte coloración azulada. Se trata de una propiedad importante porque dependiendo si la luz incidente es transmitida o reflejada, el material restaurador presenta tonalidades diferentes bajo tal iluminación, simulando lo que ocurre en un diente natural. De esa manera, el color Trans OP que corresponde al translúcido opalescente es el tono ideal para ser utilizado cuando es necesario restaurar una incisal de un diente anterior.
FLUORESCENCIA
Fluorescencia es la capacidad que el diente tiene para absorber radiación ultravioleta (tipo luz negra) y emitir esa radiación en el rango de luz visible dándole un aspecto azulado. Así es importante que el material restaurador posea esa propiedad compatible con el esmalte dentario para que el resultado estético sea el más natural posible. Resinas no fluorescentes son detectadas como un área oscura cuando están expuestas a la luz ultravioleta.